What Is Aseptic Loosening After Knee Replacement . aseptic loosening remains one of the leading causes for failure of total knee arthroplasty (tka). aseptic loosening, characterized by the gradual separation of the implant from the bone without the. Common causes of failure of knee arthroplasty include aseptic loosening,. aseptic loosening is the loosening of a prosthesis from bone in the absence of infection or trauma. when revision surgery is needed in total knee arthroplasty (tka) the most frequent reasons are aseptic. We sought to identify early. During the first 7.3 years after reimplantation, 22% and.
from medapparatus.com
aseptic loosening, characterized by the gradual separation of the implant from the bone without the. During the first 7.3 years after reimplantation, 22% and. We sought to identify early. aseptic loosening is the loosening of a prosthesis from bone in the absence of infection or trauma. Common causes of failure of knee arthroplasty include aseptic loosening,. when revision surgery is needed in total knee arthroplasty (tka) the most frequent reasons are aseptic. aseptic loosening remains one of the leading causes for failure of total knee arthroplasty (tka).
Medical Apparatus Imaging Guide
What Is Aseptic Loosening After Knee Replacement aseptic loosening, characterized by the gradual separation of the implant from the bone without the. aseptic loosening is the loosening of a prosthesis from bone in the absence of infection or trauma. aseptic loosening, characterized by the gradual separation of the implant from the bone without the. We sought to identify early. aseptic loosening remains one of the leading causes for failure of total knee arthroplasty (tka). Common causes of failure of knee arthroplasty include aseptic loosening,. when revision surgery is needed in total knee arthroplasty (tka) the most frequent reasons are aseptic. During the first 7.3 years after reimplantation, 22% and.
From www.researchgate.net
(PDF) Early aseptic loosening of primary total knee arthroplasty in What Is Aseptic Loosening After Knee Replacement aseptic loosening remains one of the leading causes for failure of total knee arthroplasty (tka). aseptic loosening is the loosening of a prosthesis from bone in the absence of infection or trauma. when revision surgery is needed in total knee arthroplasty (tka) the most frequent reasons are aseptic. During the first 7.3 years after reimplantation, 22% and.. What Is Aseptic Loosening After Knee Replacement.
From www.cureus.com
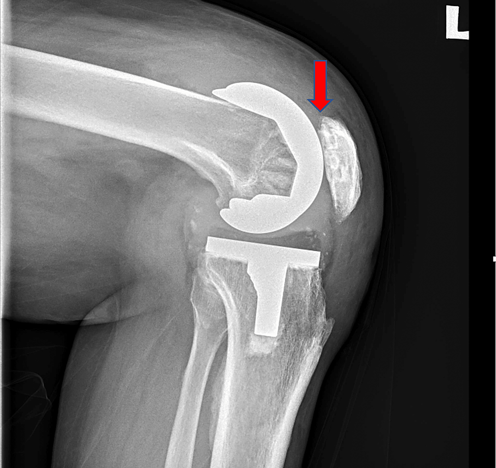
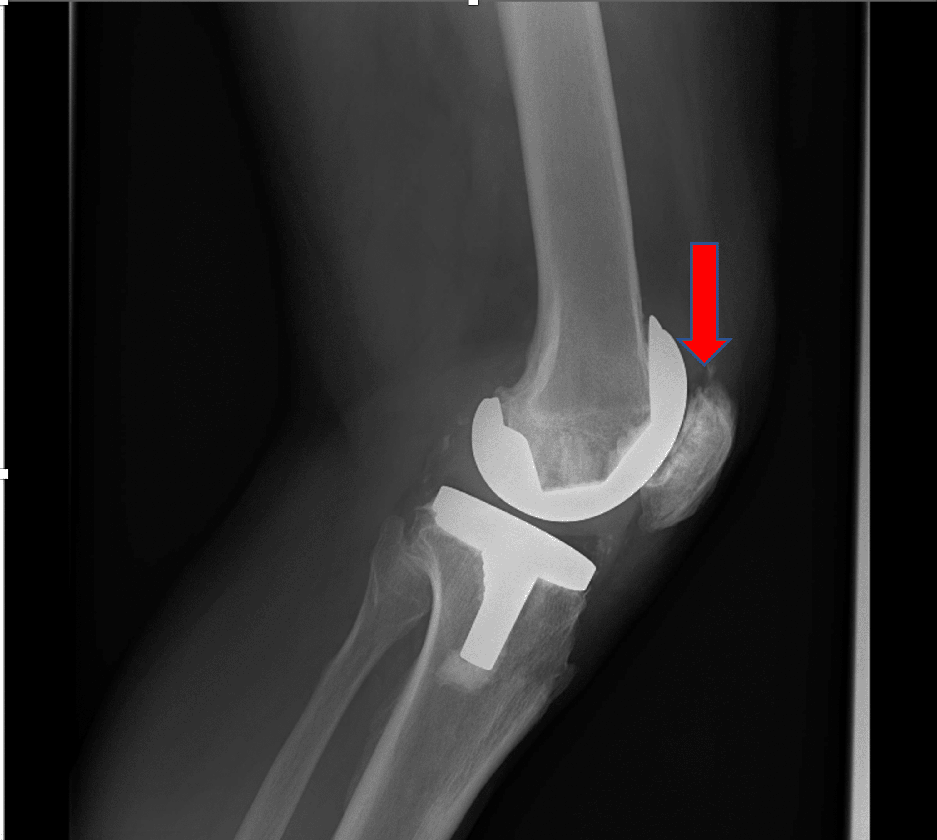
A Rare Presentation of Patella Button Aseptic Loosening After a Total What Is Aseptic Loosening After Knee Replacement when revision surgery is needed in total knee arthroplasty (tka) the most frequent reasons are aseptic. Common causes of failure of knee arthroplasty include aseptic loosening,. aseptic loosening, characterized by the gradual separation of the implant from the bone without the. aseptic loosening remains one of the leading causes for failure of total knee arthroplasty (tka). We. What Is Aseptic Loosening After Knee Replacement.
From www.orthobullets.com
THA Aseptic Loosening Recon Orthobullets What Is Aseptic Loosening After Knee Replacement when revision surgery is needed in total knee arthroplasty (tka) the most frequent reasons are aseptic. During the first 7.3 years after reimplantation, 22% and. aseptic loosening is the loosening of a prosthesis from bone in the absence of infection or trauma. aseptic loosening remains one of the leading causes for failure of total knee arthroplasty (tka).. What Is Aseptic Loosening After Knee Replacement.
From musculoskeletalkey.com
Causes and Diagnosis of Aseptic Loosening After Total Knee Replacement What Is Aseptic Loosening After Knee Replacement During the first 7.3 years after reimplantation, 22% and. aseptic loosening, characterized by the gradual separation of the implant from the bone without the. We sought to identify early. aseptic loosening remains one of the leading causes for failure of total knee arthroplasty (tka). aseptic loosening is the loosening of a prosthesis from bone in the absence. What Is Aseptic Loosening After Knee Replacement.
From topclassactions.com
Bone Cement Failure in Knee Replacement May Cause Aseptic Loosening What Is Aseptic Loosening After Knee Replacement During the first 7.3 years after reimplantation, 22% and. aseptic loosening remains one of the leading causes for failure of total knee arthroplasty (tka). when revision surgery is needed in total knee arthroplasty (tka) the most frequent reasons are aseptic. aseptic loosening, characterized by the gradual separation of the implant from the bone without the. aseptic. What Is Aseptic Loosening After Knee Replacement.
From www.orthobullets.com
TKA Aseptic Loosening Recon Orthobullets What Is Aseptic Loosening After Knee Replacement aseptic loosening, characterized by the gradual separation of the implant from the bone without the. aseptic loosening is the loosening of a prosthesis from bone in the absence of infection or trauma. aseptic loosening remains one of the leading causes for failure of total knee arthroplasty (tka). when revision surgery is needed in total knee arthroplasty. What Is Aseptic Loosening After Knee Replacement.
From mindthegraph.com
Aseptic loosening total knee arthroplasty x ray What Is Aseptic Loosening After Knee Replacement Common causes of failure of knee arthroplasty include aseptic loosening,. During the first 7.3 years after reimplantation, 22% and. We sought to identify early. aseptic loosening, characterized by the gradual separation of the implant from the bone without the. aseptic loosening remains one of the leading causes for failure of total knee arthroplasty (tka). aseptic loosening is. What Is Aseptic Loosening After Knee Replacement.
From www.cureus.com
A Rare Presentation of Patella Button Aseptic Loosening After a Total What Is Aseptic Loosening After Knee Replacement aseptic loosening remains one of the leading causes for failure of total knee arthroplasty (tka). During the first 7.3 years after reimplantation, 22% and. We sought to identify early. aseptic loosening, characterized by the gradual separation of the implant from the bone without the. aseptic loosening is the loosening of a prosthesis from bone in the absence. What Is Aseptic Loosening After Knee Replacement.
From journals.lww.com
Aseptic Tibial Implant Loosening After Total Knee Arthroplas... JAAOS What Is Aseptic Loosening After Knee Replacement Common causes of failure of knee arthroplasty include aseptic loosening,. aseptic loosening is the loosening of a prosthesis from bone in the absence of infection or trauma. aseptic loosening remains one of the leading causes for failure of total knee arthroplasty (tka). During the first 7.3 years after reimplantation, 22% and. when revision surgery is needed in. What Is Aseptic Loosening After Knee Replacement.
From www.researchgate.net
(PDF) Diagnostic accuracy of SPECT/CT arthrography in patients with What Is Aseptic Loosening After Knee Replacement when revision surgery is needed in total knee arthroplasty (tka) the most frequent reasons are aseptic. During the first 7.3 years after reimplantation, 22% and. aseptic loosening, characterized by the gradual separation of the implant from the bone without the. Common causes of failure of knee arthroplasty include aseptic loosening,. We sought to identify early. aseptic loosening. What Is Aseptic Loosening After Knee Replacement.
From www.researchgate.net
(PDF) Early Aseptic Loosening after Total Knee Replacement Using Legacy What Is Aseptic Loosening After Knee Replacement Common causes of failure of knee arthroplasty include aseptic loosening,. when revision surgery is needed in total knee arthroplasty (tka) the most frequent reasons are aseptic. aseptic loosening remains one of the leading causes for failure of total knee arthroplasty (tka). aseptic loosening is the loosening of a prosthesis from bone in the absence of infection or. What Is Aseptic Loosening After Knee Replacement.
From www.arthroplastyjournal.org
Aseptic Loosening at the Tibia in Total Knee Arthroplasty A Function What Is Aseptic Loosening After Knee Replacement We sought to identify early. aseptic loosening is the loosening of a prosthesis from bone in the absence of infection or trauma. when revision surgery is needed in total knee arthroplasty (tka) the most frequent reasons are aseptic. aseptic loosening, characterized by the gradual separation of the implant from the bone without the. Common causes of failure. What Is Aseptic Loosening After Knee Replacement.
From www.researchgate.net
Revision total knee arthroplasty in a patient with aseptic loosening What Is Aseptic Loosening After Knee Replacement Common causes of failure of knee arthroplasty include aseptic loosening,. aseptic loosening is the loosening of a prosthesis from bone in the absence of infection or trauma. aseptic loosening remains one of the leading causes for failure of total knee arthroplasty (tka). when revision surgery is needed in total knee arthroplasty (tka) the most frequent reasons are. What Is Aseptic Loosening After Knee Replacement.
From www.youtube.com
TKA Aseptic Loosening Exam Review Thomas Sculco, MD YouTube What Is Aseptic Loosening After Knee Replacement During the first 7.3 years after reimplantation, 22% and. aseptic loosening is the loosening of a prosthesis from bone in the absence of infection or trauma. We sought to identify early. Common causes of failure of knee arthroplasty include aseptic loosening,. aseptic loosening, characterized by the gradual separation of the implant from the bone without the. aseptic. What Is Aseptic Loosening After Knee Replacement.
From www.cureus.com
A Rare Presentation of Patella Button Aseptic Loosening After a Total What Is Aseptic Loosening After Knee Replacement During the first 7.3 years after reimplantation, 22% and. Common causes of failure of knee arthroplasty include aseptic loosening,. We sought to identify early. aseptic loosening remains one of the leading causes for failure of total knee arthroplasty (tka). aseptic loosening is the loosening of a prosthesis from bone in the absence of infection or trauma. aseptic. What Is Aseptic Loosening After Knee Replacement.
From medapparatus.com
Medical Apparatus Imaging Guide What Is Aseptic Loosening After Knee Replacement During the first 7.3 years after reimplantation, 22% and. Common causes of failure of knee arthroplasty include aseptic loosening,. We sought to identify early. when revision surgery is needed in total knee arthroplasty (tka) the most frequent reasons are aseptic. aseptic loosening, characterized by the gradual separation of the implant from the bone without the. aseptic loosening. What Is Aseptic Loosening After Knee Replacement.
From mindthegraph.com
Aseptic loosening total knee arthroplasty bone full What Is Aseptic Loosening After Knee Replacement During the first 7.3 years after reimplantation, 22% and. aseptic loosening is the loosening of a prosthesis from bone in the absence of infection or trauma. aseptic loosening remains one of the leading causes for failure of total knee arthroplasty (tka). Common causes of failure of knee arthroplasty include aseptic loosening,. We sought to identify early. when. What Is Aseptic Loosening After Knee Replacement.
From topclassactions.com
Aseptic Loosening Can Cause Pain Years After Knee Replacement What Is Aseptic Loosening After Knee Replacement During the first 7.3 years after reimplantation, 22% and. when revision surgery is needed in total knee arthroplasty (tka) the most frequent reasons are aseptic. aseptic loosening is the loosening of a prosthesis from bone in the absence of infection or trauma. aseptic loosening remains one of the leading causes for failure of total knee arthroplasty (tka).. What Is Aseptic Loosening After Knee Replacement.